Fixing a Tooth Damaged During Childhood
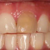
When I was in elementary school, I broke a front tooth playing at recess. A year later my dentist did a root canal treatment on it. He filled it to kind of match my other front tooth. It was never great, but at the time I didn't really care because I was a kid. Now it looks horrible because it's smaller than my other tooth and a horrible color. Is there a way to fix both of these issues?
Benjamin
Dear Benjamin,
When a child has a broken front tooth, dentists are hesitant to place a crown over the repair because their teeth are still erupting, which means the margins will eventually be open and that will put the tooth at risk. Instead, they will use a composite repair, which I'm guessing is what your dentist did. Often with these repairs for children, they are made a little smaller than the tooth next to it because composite breaks easily. As you've grown, this would become more obvious. You probably went to a basic pediatric dentist in your childhood and they would also not have the materials to really do a beautiful result. They learned how to treat children's teeth, not create beautiful cosmetic work.
You Can Have a Beautiful Smile Even After a Bad Repair

The key for you here is to find an expert cosmetic dentist. Your basic bread and butter family dentist will not be able to make a beautiful repair for you. It takes advanced dental training to match a crown to a front tooth. In your place, I would look for a cosmetic dentist who has been accredited with the American Academy of Cosmetic Dentistry (AACD). An AACD accredited dentist is among the top cosmetic dentists in the world. They will be able to give you a gorgeous porcelain crown that will match the adjacent tooth exactly.
This blog is brought to you by Naples, FL Cosmetic Dentist Dr. Long.








